
Al momento del destete los lechones son sometidos a diversos traumas que afectaran el desempeño posterior principalmente debido a un bajo consumo de alimentos.
Estos cambios pueden ser resumidos de la siguiente manera:
1. Cambios en la estructura y en la función del tracto gastrointestinal de los cerdos, ocurriendo atrofia de las vellosidades e hiperplasia de las criptas, con la disminución de la capacidad digestiva como consecuencia de la menor actividad de las enzimas dissacaridases y menor capacidad de absorción, con menor posibilidad de enfrentar los desafíos ambientales (SHAN et al. 2012; WU et al., 1996);
2. Cambios en las condiciones físicas ambientales: Cuando un lechón aumenta su consumo hasta doblar la ración de mantenimiento, su temperatura crítica inferior se reduce en 3 grados (CLOSE & STAINER, 1984), los lechones que no comen se ven seriamente afectados por el frio;
3. Estrés psicológico: ocurre por la mescla de animales, pero es un parámetro en donde la medición del impacto negativo es difícil.
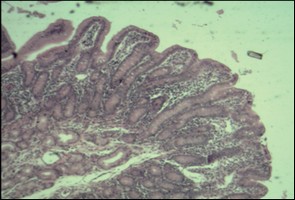
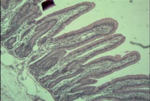
El desarrollo del sistema digestivo de los lechones está en función de la cantidad y calidad de alimento consumido en los primeros días posterior al destete, por este motivo Lescano et al., (2013) realizaron un ensayo en la Universidad Federal de Viçosa, Brasil y observaron que la morfometría (altura vellosidad y profundidad de cripta) del intestino delgado de lechones desde los 18 a 25 días de vida presentaba mejora cuando los animales consumían mayor cantidad de un alimento de mayor calidad nutricional.

Foto N°1: Corte histológico del segmento duodeno de un lechón de 25 días de edad, el consumo diario de ración en la primera semana pos-destete (CRD) fue de 169 gramos/día. Como se observa en la foto, hay una atrofia de vellosidades lo cual afectara los procesos de digestión y absorción que ocurren en los diferentes segmentos del intestino. (Lescano et al., 2013- Journal of Animal Science)

Foto N°2: Corte histológico del segmento duodeno de un lechón de 25 días de edad, el consumo diario de ración en la primera semana pos-destete (CRD) fue de 235 gramos/día en el cual se observa un excelente desarrollo de las vellosidades, siendo que el mantenimiento de la estructura intestinal es substrato dependiente.(Lescano et al., 2013 – Journal of Animal Science)
Comprendiendo que el consumo de alimento es de vital importancia para el crecimiento, decimos que múltiples son los factores que afectan el consumo de ración, entre ellos genética, sexo, desafío sanitario, presentación física del alimento, niveles nutricionales, tamaño de grupos, tipo de instalaciones etc.
Diversos ensayos han sido realizados en cerdos en desarrollo – terminación para conocer el desempeño zootécnico con diferentes tipos de comederos, pero pocos se han enfocado a estudiar el impacto que tiene el uso de comederos específicamente diseñados para estimular el consumo en las primeras semanas posterior al destete.
Por lo tanto el objetivo de este ensayo fue evaluar el uso de comederos de apoyo en el periodo de 21 a 39 días de vida en lechones en el sector de recría.
Material y métodos
El ensayo fue realizado en las instalaciones del Centro de Investigación de Biofarma S.A. ubicado en la localidad de Carnerillo – Córdoba, Argentina.
Fueron utilizados 320 lechones hembras y machos castrados, distribuidos en un delineamiento enteramente al azar entre dos (2) tratamientos y ocho (8) repeticiones con 20 animales por cada repetición (unidad experimental), destetados con 21 días de vida y 6,76 kg de peso vivo, siendo la duración de este ensayo de 18 días.
Los tratamientos fueron los siguientes:
TRATAMIENTO 1: Uso de comederos tipo tolva más comedero de apoyo
TRATAMIENTO 2: Uso de comederos tipo tolva
De esta forma cada repetición estaba compuesta por 20 animales, siendo que en el tratamiento 1 los animales fueron alimentados mediante 1 comederos tipo tolva 1 comedero de apoyo, y en el tratamiento 2 los animales fueron alimentados mediante 2 comederos tipo tolva. La relación boca comedero de apoyo/animal fue 1 comedero cada 20 animales.
El agua y el alimento fueron ofrecidos a voluntad, y la duración en días de cada fase fue establecida en base a experiencias propias que permitan acercarnos a los consumos de alimentos utilizados en campo. Los alimentos utilizados fueron productos de línea Perfecto Nursery y Perfecto Transición de la empresa Biofarma S.A.
Fueron analizados parámetros de desempeño productivo tales como consumo de ración diaria CRD, ganancia de peso diaria GPD, conversión alimenticia CA. Se realizó un ANAVA y fue considerado diferencia significativa cuando P <0,05.
Resultados
En la tabla N°1 se presentan los valores de peso inicial, peso final, consumo de ración diaria (CRD), ganancia de peso diaria (GPD) para lechones alimentados en el periodo de 21 a 29 días vida que corresponde al alimento Perfecto Nursery.
Tabla N°1: Valores medios de desempeño, P-Valor, CV (%), diferencia porcentual en el desempeño. Lechones alimentados en el periodo de 21 a 29 días de vida.

Diferencia Significativa P<0,05
Centro de Investigación Biofarma S.A. - Ensayo N° 11 - Efecto del uso del comedero de apoyo en lechones destetados
En el presente ensayo fue observada mejora estadística significativa para peso final (P=0,046), CRD (P=0,05), GPD (P=0,046) para los animales que fueron alimentados mediante los comederos tolva más los comederos de apoyo. Para el parámetro de CA no fue observada diferencia estadística (P=0,880).
En la tabla N°2 se presentan los valores de peso inicial, peso final, consumo de ración diaria (CRD), ganancia de peso diaria (GPD) para lechones alimentados en el periodo de 29 a 39 días vida que corresponde al alimento Perfecto Transición.
Tabla N°2: Valores medios de desempeño, P-Valor, CV (%), diferencia porcentual en el desempeño. Lechones alimentados en el periodo de 29 a 39 días de vida.

Diferencia Significativa P<0,05
Centro de Investigación Biofarma S.A. - Ensayo N° 11 - Efecto del uso del comedero de apoyo en lechones destetados
En el periodo de 29 a 39 días de vida no fue observada diferencia significativa para ninguno de los parámetros evaluados.
Resultados
En la tabla N°3 se presentan los valores de peso inicial, peso final, consumo de ración diaria (CRD), ganancia de peso diaria (GPD) para lechones alimentados en el periodo general de 21 a 39 días vida que corresponde al alimento Perfecto Nursery y Perfecto Transición.
Tabla N°3: Valores medios de desempeño, P-Valor, CV (%), diferencia porcentual en el desempeño. Lechones alimentados en el periodo de 21 a 39 días de vida.

Diferencia Significativa P<0,05
Centro de Investigación Biofarma S.A. - Ensayo N° 11 - Efecto del uso del comedero de apoyo en lechones destetados.
En el periodo de 21 a 39 días de vida no fue observada diferencia significativa para ninguno de los parámetros evaluados.
El uso de un comedero diseñado específicamente para estimular el consumo de alimento presento mejoras en el desempeño de los animales, fue observado que hubo un aumento en el consumo de alimento y que consecuentemente tuvimos una mejora en la ganancia de peso diaria de estos lechones.
Conclusión
Con el presente ensayo concluimos que el uso de comederos de apoyo en el periodo de 21 a 29 días (fase 1) de vida mejoro el desempeño productivo de los animales, por lo tanto recomendamos su uso en granjas comerciales durante la primera semana posterior al destete.
Recomendaciones prácticas
Durante la primera semana posterior al destete (fase 1 – Perfecto Nursery) todas las salas de recría de granjas comerciales deberían contar con comederos de apoyo diseñados específicamente para esta etapa, y debería ser analizado el uso de estos hasta finalizar la fase 2 (Perfecto Transición) ya que si bien el ensayo no presenta diferencia estadística significativa, si se observó mejora en términos porcentuales.
Las empresas proveedoras de estos insumos, recomiendan utilizar 1 comedero cada 20-25 lechones.
En las siguientes fotos se presenta como deberían ser manejados los comederos
